UBC IM POCUS
  • Home
  • Scanning Tutorials Pathology Videos Galleries Interactive Cases Quizzes High Yield Papers
  • POCUS rotation Minimum Criteria Procedure/Consult Checklists Case Presentation Instructions Resident Workshops
  • About Us IM Resident POCUS Elective GIM POCUS Fellowship
  • Resources Document Library
  • Basics course
  • Contact Us
UBC IM POCUS
  • Home/
  • Learn POCUS/
    • Scanning Tutorials
    • Pathology Videos
    • Galleries
    • Interactive Cases
    • Quizzes
    • High Yield Papers
  • UBC Residents/
    • POCUS rotation
    • Minimum Criteria
    • Procedure/Consult Checklists
    • Case Presentation Instructions
    • Resident Workshops
  • Prospective Learners/
    • About Us
    • IM Resident POCUS Elective
    • GIM POCUS Fellowship
  • Resources/
    • Resources
    • Document Library
  • Basics Course/
    • Basics course
  • Contact Us/
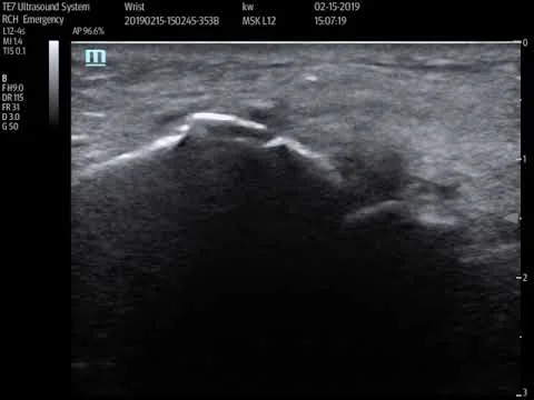
Distal radius fracture
UBC IM POCUS

Point-of-Care Ultrasound Education from the Internal Medicine Program at the University of British Columbia

MSK Gallery

UBC IM POCUS
  • Home/
  • Learn POCUS/
    • Scanning Tutorials
    • Pathology Videos
    • Galleries
    • Interactive Cases
    • Quizzes
    • High Yield Papers
  • UBC Residents/
    • POCUS rotation
    • Minimum Criteria
    • Procedure/Consult Checklists
    • Case Presentation Instructions
    • Resident Workshops
  • Prospective Learners/
    • About Us
    • IM Resident POCUS Elective
    • GIM POCUS Fellowship
  • Resources/
    • Resources
    • Document Library
  • Basics Course/
    • Basics course
  • Contact Us/
1 2 3 4 5 6 7 8 9 10
Previous Next
Distal radius fracture
Knee effusion
MTP effusion
Small left knee effusion
Synovial thickening R wrist
Long axis finger in water bath
Short axis
Water bath Normal finger
UBC-logo-2018-crest-blue-rgb72.png

About Us Scan Reporting Case of the Month Minimum Criteria POCUS Rotation

No results found