Hone your POCUS interpretation and clinical reasoning by working through the interactive cases below.
Case #7: TO TAP OR NOT TO TAP?
This was a fascinating case of a 34-year old woman with HIV, not on anti-retrovirals, presenting with fevers, weight loss, and malaise. She was found to have a CD4 count of 90, and was started on HAART therapy. She was also found to have disseminated histoplasmosis, confirmed by bone marrow biopsy. She was treated with antifungal medications (initially amphotericin, later itraconazole due to toxicity).
However, over three weeks into her therapy, she continued to have daily fevers. There was concern for an unrecognized infection or malignant process given her degree of immunosuppression. Further investigations, including assessment by the POCUS team, were therefore undertaken. The treating Internal Medicine team was specifically wondering about:
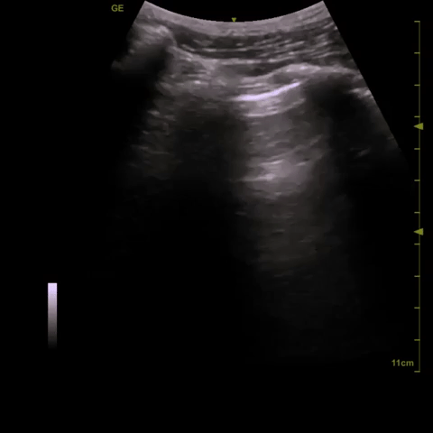
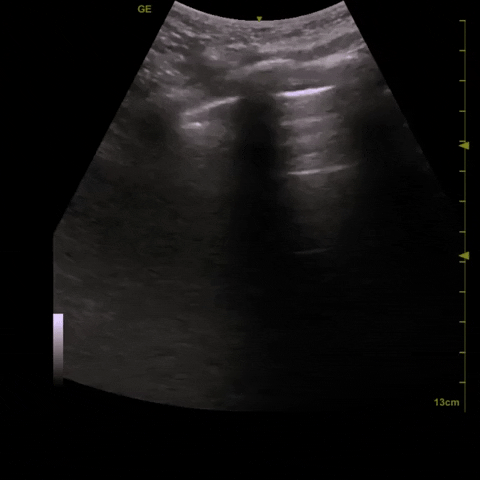
1) pleural effusion (suggestion of this on CXR) – they were hoping for a diagnostically drainable pocket of fluid
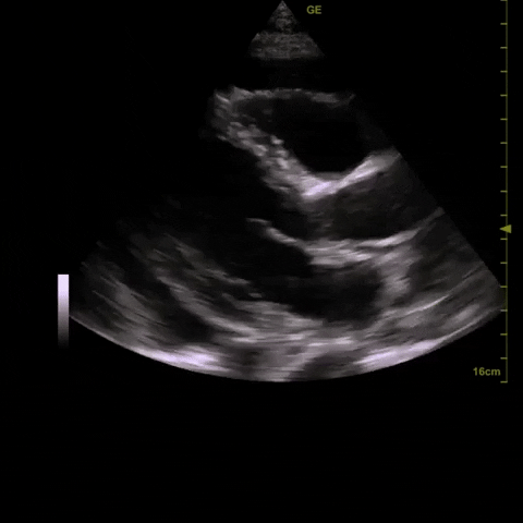
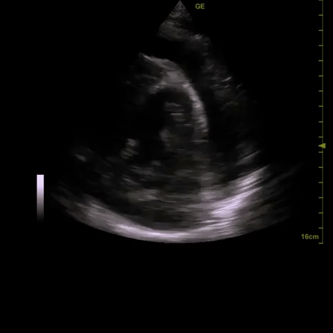
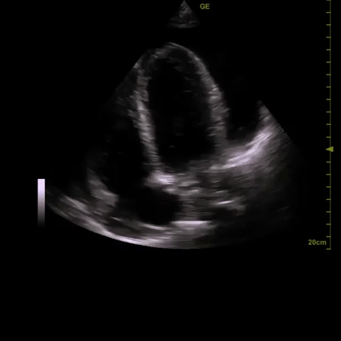
2) ?pericardial effusion (small one noted on initial CT scan)
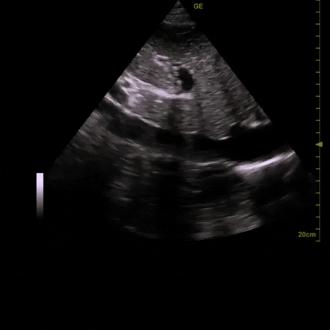
Here are clips from the initial lung POCUS:
Argulian E & Messerli F. Misconceptions and Facts about Pericardial Effusion and Tamponade. Am J Medicine, 2013, 126(10):858-861.
A diagnostic echocardiogram was performed which was consistent with the POCUS findings. In discussion with Cardiology, a percardiocentesis was performed and over 1L of fluid was aspirated from the pericardial sac (good access from the A4C window). The patient tolerated this well and had a very modest increase in blood pressure following the procedure.
Analysis of the pericardial fluid did not reveal any new infectious or malignant causes as potential sources of the ongoing fevers. Additional workup was performed, including eventual lymph node biopsy, which was consistent with disseminated histoplasmosis (no evidence of lymphoma or TB). The patient defervesced over the next week and was maintained on anti-fungal therapy.
PoCUS Pearls
- There are several echocardiographic signs of increased intrapericardial pressure: RA collapse, RV diastolic collapse, and increased mitral/tricuspid inflow variation 
- Beware the pitfalls of IVC evaluation. Always seek a second (short-axis) view! 
- Pericardial tamponade exists along a spectrum of hemodynamic consequences secondary to pericardial effusion. This is not a binary diagnosis! 

 
                    







 
            